IBR - Rinotracheite infettiva del bovino

INFORMAZIONI GENERALI
Il virus erpetico del bovino tipo 1 (BoHV-1) appartiene alla Famiglia Herpesviridae sottofamiglia Alphaherpesvirinae. Questa sottofamiglia è contraddistinta dalle seguenti caratteristiche:
1) spettro d’ospite variabile;
2) ciclo replicativo rapido;
3) propagazione attiva in colture cellulari;
4) distruzione delle cellule ospiti;
5) sede di latenza i gangli sensoriali;
Il virus è provvisto di una membrana pericapsidica di natura lipoproteica (envelope) e un nucleocapside (core) di forma icosaedrica contenente un doppio filamento di DNA approssimativamente di 140 kb. Il virione contiene circa 70 proteine di cui 11 sono glicoproteine localizzate nell’envelope.
Particella virale del virus erpetico del bovino tipo 1 (BoHV-1; microscopio elettronico). E, envelope; N, nucleocapside
Ad oggi si conosce un solo un tipo antigenico di BoHV-1, tuttavia utilizzando gli enzimi di restrizione si possono caratterizzare i seguenti sottotipi:
- BoHV-1.1
- BoHV-1.2a
- BoHV-1.2b
- BoHV-1.3
Il BoHV-1.1 e il BoHV-1.2a sono responsabili principalmente di forme respiratorie e causano la Rinotracheite Infettiva del bovino (IBR), associata a febbre, riduzione della produzione di latte ed aborti. Le infezioni con questi sottotipi hanno un esito lieve. Gli isolati BoHV-1.2a, inoltre, causano aborto, a differenza degli stipiti BoHV-1.2b. Gli stipiti BoHV-1.1 sono molto più virulenti rispetto ai sottotipi BoHV-1.2b.
BoHV-1.3 sono stati isolati da vitelli venuti a morte in corso di encefaliti e da feti abortiti.
Il virus in natura è responsabile di forme cliniche nel bovino, suino e ovi-caprino. Nel cane, cavallo, cervo, bufalo, elefante asiatico, antilope, gnu, visone, il virus evoca la produzione di anticorpi, ma non è responsabile di sintomatologia clinica.
In condizioni sperimentali, ad oggi, l’IBR è stata riprodotta nel bovino.
PROPRIETA' CHIMICO-FISICHE
Il virus è resistente in natura. L’inattivazione delle particelle virali dipende dalle condizioni ambientali, quali luce, umidità, pH e sostanza che contiene il virus. A 4°C, è stabile per 1 mese, mentre è inattivato a 56°C per 21 minuti. Diversamente a 37°C e a 22°C resiste rispettivamente per 10 e 50 giorni.
Il virus è sensibile a solventi organici, come cloroformio, etere e acetone. E’ inattivato con: 0,5% di NaOH; 0,01% di HgCl2; 1% di clorurato di calce; 1% derivati fenolici; 1% di sali quaternari di ammonio; 10% reattivo di Lugol. La formalina al 5% inattiva il virus in 1 minuto.
COLTIVAZIONE DEL VIRUS
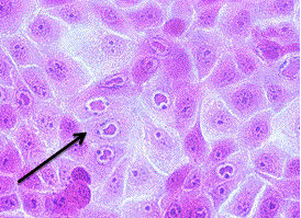
Il virus coltiva su un’ampia gamma di colture di tessuti di origine bovina. La replicazione è associata all’effetto citopatico (Fig. 2). Il virus produce placche, non induce la formazione di sincizi ed è responsabile della formazione di inclusi intranucleari di tipo A di Cowdry (Fig.3).
Effetto citopatico 24 ore post-semina (Microscopio ottico, Foto IZSUM)
Controllo Negativo colture cellulari (Microscopio ottico, Foto IZSUM)
Inclusi intranucleari di tipo A di Cowdry (Microscopio ottico, Foto IZSUM)
CENTRI E LABORATORI DI RIFERIMENTO
Centro di Referenza Nazionale per la Rinotracheite Infettiva del Bovino (CRNIBR)
U.O. Semplice Laboratorio Virologia Speciale
REFERENTI
Dott.ssa Cecilia Righi
RING TEST
SINTOMATOLOGIA
Forma respiratoria: Rinotracheite infettiva del Bovino (IBR)
Il virus BoHV-1 ha un’elevata affinità per le mucose respiratorie dove determina un’intensa reazione infiammatoria, causando seri danni a carico delle cellule ciliate dell’epitelio. Dopo 48 ore, l’animale presenta ipertermia (40,5-41,5°C), con un picco intorno al 3-4° giorno, associata ad apatia, dispnea, diminuzione dell’appetito, diminuzione del peso corporeo, ipersalivazione, ipersecrezione nasale (Foto 4), dapprima sierosa e poi mucopurulenta. Negli allevamenti da latte è possibile osservare una riduzione della produzione del latte. Spesso è presente congiuntivite unilaterale o bilaterale con profusa lacrimazione. Le cavità nasali appaiono dilatate, iperemiche e presentano lesioni pustolose confluenti; la secrezione diviene sempre più densa e filante, di colore biancastro e, nelle fasi avanzate, tende ad assumere una colorazione rossastra per la presenza di tracce di sangue.
La mucosa tracheale nelle fasi iniziali evidenzia iperemia della stessa e della sottomucosa (Foto 5), mentre in fasi successive risulta tappezzata di ulcere che, confluendo, danno luogo alla formazione di pseudomembrane ed emorragie (Foto 6). L’animale respira a bocca aperta, presenta arti anteriori divaricati, testa estesa sul collo, tosse e starnuti.
Nel caso in cui non intervengano complicazioni batteriche o virali, i sintomi, dopo aver raggiunto la loro massima espressione alla fine della prima settimana, incominciano a regredire; viceversa, in presenza di germi o virus di irruzione secondaria, l’animale muore per l’insorgenza di una grave forma di broncopolmonite.
La morbilità può variare dal 20% al 100%, mentre la mortalità può arrivare fino ad un massimo del 10%.
Strettamente associate alla malattia respiratoria sono la forma abortigena (Foto 7 e la meningoencefalica (Foto 8).
La prima colpisce bovine al 4-5° mese di gestazione, provocando morte fetale a causa della formazione di lesioni necrotiche a livello placentare, mentre la seconda porta a morte i vitelli di 4-6 mesi di età.
Foto: Bovino con ipersecrezione nasale monolaterale (Foto IZSUM)
Foto: Tracheite mucosa (iperemia della mucosa e sottomucosa; Foto IZSUM)
Foto: Tracheite emorragica (edema della mucosa e sottomucosa; Foto IZSUM)
Foto: Aborto bovino al 5° mese di gestazione (Foto IZSUM)
Foto: Meningoencefalite nel vitello (Foto IZSUM)
Forma Genitale: Vulvovaginite pustolosa infettiva (IPV) e balanopostite
Il periodo d’incubazione è di 24-72 ore ed è seguito dalla comparsa di febbre, di tipo ondulante, della durata di alcuni giorni. Nella femmina la vulva si presenta tumefatta ed imbrattata di materiale denso che aderisce tenacemente alle labbra. Gli animali infetti di solito tengono la coda sollevata ed eseguono ripetuti tentativi di urinare che risultano sempre molto dolorosi. Nei casi lievi di malattia, la mucosa della vulva appare infiammata e risulta cosparsa di pustole (Foto 9) di dimensioni ridotte, di colore biancastro (Foto 10). La mucosa vaginale è congesta e presenta una certa quantità di essudato di colore giallastro. Nei casi più gravi le pustole presenti sulla mucosa vulvare tendono a confluire fra di loro dando origine ad una sorta di placche sopraelevate di colore giallastro e si osservano emorragie associate a grossi depositi di essudato vaginale. Dopo alcuni giorni il materiale necrotico superficiale viene eliminato residuando nella mucosa ampie zone di disepitelizzazione. La guarigione clinica si realizza in un tempo variabile da 10 a 14 giorni, anche se l’essudato vaginale può persistere per alcune settimane. Nel maschio, nei casi lievi, è visibile una congestione della mucosa del prepuzio e del glande che permane per 2-3 giorni, fino a regressione completa dei sintomi. Nei casi più gravi, compaiono pustole che successivamente si rompono, residuando in ulcere crateriformi. La guarigione avviene in circa 2 settimane.
Foto: Evidenti pustole a livello della mucosa vulvare (Foto IZSUM)
Foto: Mucosa vaginale con pustole di colore biancastro (Foto IZSUM)
PATOGENESI
In condizioni naturali il virus infetta gli animali per via respiratoria o genitale.
Nella forma respiratoria (Rinotracheite infettiva del bovino, IBR), il virus replica inizialmente nella mucosa nasale e mediante i vasi linfatici, diffonde nel sangue. Durante questo periodo di incubazione, non si osserva alcun segno clinico, ma il virus già viene eliminato all’esterno con il secreto nasale e nel sangue inizia a replicare all’interno dei leucociti, senza provocarne lisi cellulare. Durante la fase viremica, raggiunge anche il sistema nervoso centrale, dove inizia lo stato di latenza. Dopo circa 4-5 giorni, la viremia raggiunge la sua massima concentrazione e si osservano i primi sintomi della malattia, la cui gravità è in funzione dello stipite virale, dello stato immunitario e dell’età del soggetto (febbre, ipersecrezione nasale). In caso di guarigione clinica, l’animale infettato diventa portatore asintomatico del virus (latenza virale), fino all’insorgenza di un evento immunosoppressivo che ne determina la riattivazione virale. Il virus riattivato determina sempre una malattia respiratoria e, veicolato dai leucociti, può localizzarsi anche in organi bersaglio secondari che possono essere rappresentati dall’utero gravido, dalla mucosa intestinale o dal sistema nervoso centrale in vitelli molto giovani, sprovvisti di anticorpi circolanti.
Nella forma genitale il virus replica localmente, senza alcuna tendenza alla diffusione ad altri distretti dell’organismo e con scarse possibilità che possa instaurare un’infezione latente. Nella femmina si manifesta sotto forma di vulvovaginite pustolosa infettiva (IPV), mentre nel maschio si osservano pustole nella mucosa del prepuzio, del glande e del corpo del pene (balanopostiti).
LATENZA
Il virus BoHV-1 instaura, dopo un’infezione primaria, in assenza di un’adeguata protezione immunitaria, una fase d’infezione allo stato latente. Penetrando per via inalatoria o genitale, raggiunge, attraverso le terminazioni nervose presenti nelle mucose, i rispettivi siti di latenza, quali il ganglio del trigemino e lo sciatico (sacrale).
Nei neuroni, lo stato di latenza non è sostenuto dal virus completo, ma dal genoma che assume una forma circolare e codifica solo per alcuni geni della latenza (LAT).
Un intervento di stress di varia natura (parto, trasporto degli animali, stalle di sosta, fiere, infezioni intercorrenti di origine virale o parassitaria, trattamenti con glucocorticoidi) associato ad immunosoppressione, provoca la riattivazione del virus che non si localizza nelle mucose delle prime vie respiratorie, perché protette dall’immunità cellulare, ma eventualmente in altri organi bersaglio, rappresentati dall’utero gravido, dalla mucosa intestinale o dal sistema nervoso centrale.
A seguito di una prima infezione virale o dopo riattivazione della latenza, gli animali stimolano una risposta immunitaria cellulo-mediata e umorale.
DIAGNOSI CLINICA E DIFFERENZIALE
La presenza di febbre elevata, ipersalivazione ed ipersecrezione nasale in un allevamento bovino, autorizza a formulare il sospetto di IBR, di Afta Epizootica o Malattia delle Mucose (BVD). Nel caso di Afta, però, la prevalenza dell’infezione risulterebbe molto elevata (100%), mentre nell’IBR raramente supera il 30-40%.
L’ulteriore evoluzione clinica, inoltre, fornisce dati importanti ai fini differenziali.
Infatti la successiva comparsa di sintomi respiratori, può indirizzare maggiormente la diagnosi verso IBR, rispetto ad Afta Epizootica dove è possibile apprezzare principalmente zoppia e mammilliti. Inoltre nell’IBR è possibile osservare aborto tardivo dopo il 4-5° mese di gestazione.
La presenza di erosioni ed ulcere sia nella mucosa del cavo orale sia nello spazio interungueale, oltre alla comparsa di diarrea, depone per il sospetto di BVD.
La forma genitale dell’IBR deve essere differenziata con un altro virus erpetico del bovino, il BoHV-4. Quest’ultimo è responsabile di lesioni vulvari e vaginali del tutto simili a quelle indotte dal BoHV-1. Nel caso del BoHV-4, la vulvovaginite pustolosa infettiva costituisce un evento che nel tempo è stato preceduto da altri sintomi (calori irregolari, metriti, riassorbimenti embrionali) che hanno interessato molti soggetti dell’allevamento.
DIAGNOSI DI LABORATORIO
La diagnosi di laboratorio può essere effettuata sia con metodi diretti in cui si evidenzia l’antigene virale, sia con metodi indiretti dove si rileva la presenza degli anticorpi evocati nei confronti dello stesso.
La diagnosi diretta può esser fatta su materiale prelevato in vivo o post-mortem, mediante isolamento virale, immunofluorescenza diretta, PCR o microscopia elettronica.
Nell’animale in vita è opportuno prelevare un campione di essudato nasale, congiuntivale o genitale, mediante tamponi che vanno immersi in un adeguato mezzo di trasporto e refrigerati.
La raccolta del materiale patologico va effettuata all’inizio delle manifestazioni cliniche.
In caso di animali deceduti, in conseguenza ad un episodio respiratorio, è opportuno l’invio tempestivo al laboratorio della trachea e del polmone, previa refrigerazione o congelamento, così come, in caso di aborto, vanno inviati invogli, organi fetali e placenta.
La diagnosi indiretta, si basa sul rilievo di anticorpi nel siero di animali con presenza o assenza di segni clinici riferibili all’infezione da BoHV-1.
Gli anticorpi possono essere rilevati con metodiche immunoenzimatiche (ELISA) o con prove di sieroneutralizzazione virale (SN).
I test ELISA vengono utilizzati in screening sierologici e possono rilevare anticorpi prodotti nei confronti di singole glicoproteine (gB, gE) o del virus in toto (anticorpi totali).
Diversamente la SN è in grado di mostrare il livello di protezione immunitaria degli animali esaminati, misurando la capacità di un determinato siero di neutralizzare il potenziale infettivo del virus su una linea cellulare sensibile.
I tests ELISA risultano più rapidi ed economici, rispetto alla SN; quest’ultima viene utilizzata come prova di riferimento (gold standard) per diagnosticare l’IBR.
Le metodiche per la diagnosi di IBR utilizzate presso il Centro, sono quelle riportate nel Manuale OIE edizione 2018 , cap. 3.4.11.
VACCINAZIONE
VACCINI INATTIVATI O SPENTI
VACCINI ATTIVI ATTENUATI
Sono costituiti da virus il cui potere patogeno è stato ridotto, determinando la formazione di virus con mutazioni o delezioni di geni responsabili della replicazione in vitro. La somministrazione di questa tipologia di vaccini determina una scarsa infezione che contemporaneamente stimola l’immunità umorale e cellulo-mediata, senza però provocare malattia. Questo tipo di vaccinazione è molto efficace in quanto simula l’infezione naturale, tuttavia può indurre latenza virale e/o immunosoppressione.
VACCINALI DELETI MARKER
LEGISLAZIONE
La legislazione dell’Unione Europea in materia di Sanità Animale è stata recentemente aggiornata con l’adozione del Regolamento UE 2016/429, cosiddetto Animal Health Law (AHL), applicabile a partire dal 21 aprile 2021. Tale Regolamento abroga e sostituisce circa 40 atti di base e, a sua volta, richiede l’adozione di numerosi regolamenti delegati e di esecuzione della Commissione, alcuni dei quali già emanati, altri in via di approvazione. Con il nuovo Regolamento UE 2016/429 un numero enorme di atti giuridici viene semplificato in un'unica legge, con regole più semplici e chiare che consentono alle autorità di concentrarsi sulle priorità chiave, prevenzione ed eradicazione delle malattie.
LEGISLAZIONE COMUNITARIA
CATEGORIZZAZIONE DELLA MALATTIA
Il Regolamento 429/2016/UE stabilisce le norme per la prevenzione e il controllo delle malattie degli animali che sono trasmissibili agli animali o all'uomo, mentre il Regolamento 1882/2018/UE categorizza le malattie in cinque gruppi, denominati da A a E. La Rinotracheite Infettiva del bovino/Vulvovaginite pustolosa (IBR/IPV) viene compresa tra le malattie elencate, ai sensi degli artt. 5 e 9 del Regolamento 429/2016/UE, essendo riportata nell’allegato II del Regolamento 1629/2018/UE. Inoltre, la Rinotracheite Infettiva del Bovino, ai sensi dell’allegato del Regolamento 1882/2018/UE, viene considerata come malattia appartenente alle seguenti categorie:
- C: malattia elencata rilevante per alcuni Stati Membri e rispetto alla quale sono necessarie misure per evitarne la diffusione in parti dell’Unione che ne sono ufficialmente indenni o che hanno programmi di eradicazione per la malattia elencata interessata, di cui all’art. 9, paragrafo 1, lettera c), del Regolamento 429/2016/UE.
- D: malattia elencata rilevante per la quale sono necessarie misure per evitarne la diffusione a causa del suo ingresso in Unione o dei movimenti tra Stati Membri, di cui all’art. 9, paragrafo 1, lettera d), del Regolamento 429/2016/UE.
- E: malattia elencata rilevante per la quale vi è la necessità di sorveglianza all’interno dell’Unione, di cui all’art. 9, paragrafo 1, lettera e), del Regolamento 429/2016/UE.
La notifica all’Unione Europea è obbligatoria se il focolaio di malattia, primario o secondario, viene individuato nella pertinente popolazione animale in uno Stato Membro o in una zona indenni dalla malattia, ai sensi dell’art. 3 del Regolamento 2002/2020/UE.
MISURE DI CONTROLLO DELLA MALATTIA E STATUS DI INDENNITÀ DEGLI STATI MEMBRI O LORO ZONE
La Rinotracheite Infettiva del bovino è elencata come malattia soggetta a programmi facoltativi di eradicazione (categoria C); inoltre, negli Stati Membri già indenni è necessario applicare un programma di sorveglianza basato sulla valutazione del rischio, idoneo sia a individuare precocemente l’introduzione della malattia sia a dimostrare la conformità ai criteri per la concessione e il mantenimento della qualifica. Tutti questi aspetti sono contenuti nel Regolamento 689/2020/UE, che stabilisce le norme che integrano la normativa in materia di sanità animale relativamente a:
- organizzazione della sorveglianza
- conferma della malattia e definizione di caso
- strategia di controllo della malattia
- obblighi degli operatori e delle autorità competenti
- misure di controllo della malattia in caso di sospetto e conferma
Esso definisce inoltre le prescrizioni specifiche per la concessione, il mantenimento, la sospensione e ripristino, il ritiro e riacquisizione dello status di indenne da malattia, sia a livello di stabilimento sia a livello di Stati Membri o loro zone (allegato IV, parte IV). Infine, il Regolamento 689/2020/UE stabilisce i metodi diagnostici per la concessione e il mantenimento dello status di indenne da malattia (allegato III, sezione 4).
Norme integrative riguardanti le misure di controllo in caso di sospetto o conferma di malattia sono riportate nel Regolamento 687/2020/UE.
Attualmente, gli Stati Membri o loro zone che hanno ottenuto lo status di indennità da IBR o che hanno ottenuto l’approvazione di un programma di eradicazione sono riportati nel Regolamento 620/2021/UE:
REGOLAMENTO 620/202I, allegato V
PARTE I: Stati Membri o loro zone aventi lo status di indenne da malattia per l’IBR/IPV | |
Cechia | Intero territorio |
Danimarca | Intero territorio |
Germania | Intero territorio |
Italia | Regione Valle d'Aosta |
Regione Trentino-Alto Adige: provincia Autonoma di Bolzano | |
Austria | Intero territorio |
Finlandia | Intero territorio |
Svezia | Intero territorio |
PARTE II: Stati Membri o loro zone che hanno ottenuto l’approvazione di un programma di eradicazione per l’IBR/IPV | |
Belgio | Intero territorio |
Francia | Region Auvergne et Rhone-Alpes |
Region Bourgogne-Franche-Comtè | |
Region Bretagne | |
Region Centre-Val de Loire | |
Region Grande Est | |
Region Hauts de France | |
Region Ile-de-France | |
Region Normandie | |
Region Nuovelle- Aquitaine | |
Region Occitanie | |
Region Pays de la Loire | |
RegionProvence-Alpes-Coted’Azur | |
Italia | Regione Friuli Venezia Giulia |
Regione Trentino-Alto Adige: provincia Autonoma di Trento | |
Lussemburgo | Intero territorio |
In aggiunta, risultano indenni da IBR anche la Svizzera, la Norvegia e l’isola di Jersey nel Regno Unito.
INGRESSO IN UE E MOVIMENTAZIONI TRA STATI MEMBRI DI ANIMALI/MATERIALE GERMINALE/PRODOTTI DI ORIGINE ANIMALE
Il Regolamento 688/2020/UE stabilisce le prescrizioni in materia di sanità animale relativamente ai movimenti di animali terrestri all’interno dell’Unione Europea, al fine di ridurre il rischio di diffusione delle malattie, tra cui la Rinotracheite Infettiva del bovino, tra gli Stati Membri. Inoltre, il Regolamento prevede prescrizioni supplementari da applicarsi ai movimenti di animali verso altri Stati Membri o loro zone aventi lo status di indenne per IBR oppure un programma di eradicazione approvato per la malattia.
Il Regolamento 686/2020/UE integra le norme di cui al Regolamento 429/2016/UE per quanto riguarda gli stabilimenti registrati e riconosciuti di materiale germinale, e le prescrizioni in materia di tracciabilità e di sanità animale per i movimenti all’interno della Unione Europea di materiale germinale di determinati animali. In particolare, il materiale germinale di origine bovina è soggetto a una serie di prescrizioni relativamente alla IBR, negli ambiti previsti dal Regolamento.
Lo stesso argomento viene ripreso dal Regolamento 692/2020/UE, che integra il Regolamento 429/2016/UE per quanto riguarda le norme per l’ingresso nella Unione, e per i successivi movimenti, di partite di animali, materiale germinale e prodotti di origine animale. Tale Regolamento contiene prescrizioni specifiche in materia di sanità animale per gli ungulati e per il loro materiale germinale, nonché prescrizione supplementari per malattie di categoria C come la Rinotracheite Infettiva del bovino, a garanzia che l’ingresso in Unione di animali, materiale germinale o prodotti di origine animale non pregiudichi lo stato sanitario preesistente.
Ulteriori norme integrano la materia delle movimentazioni di animali e prodotti derivati, riportando i modelli di certificati sanitari ufficiali per l’ingresso nell’Unione e i movimenti all’interno dell’Unione di partite di determinate categorie di animali e del relativo materiale germinale (Regolamento 2235/2020/UE e Regolamento 403/2021/UE) e stabilendo gli elenchi di Paesi Terzi, territori o loro zone da cui è autorizzato l’ingresso in Unione di animali, materiale germinale e prodotti di origine animale (Regolamento 404/2021/UE).
LEGISLAZIONE NAZIONALE
In Italia, alcune regioni hanno emanato piani di monitoraggio/controllo ed eradicazione della rinotracheite infettiva del bovino già a partire dagli ultimi anni ’90, per rendere possibili gli scambi commerciali e la condivisione degli alpeggi con gli stati confinanti, che erano in attesa dell’acquisizione dell’indennità o già indenni da IBR. Successivamente, poiché la malattia ha assunto una crescente rilevanza nel comparto zootecnico nazionale, altre regioni hanno adottato piani di controllo, per evitare l’introduzione di animali infetti da territori non soggetti a restrizioni e per valorizzare le produzioni zootecniche regionali mediante uno status sanitario superiore per le proprie aziende.
In particolare, ad oggi, le regioni che hanno emanato piani ufficiali di controllo dell'IBR sono le seguenti:
- Campania
- Friuli Venezia Giulia
- Lazio
- Liguria
- Lombardia
- Marche
- Piemonte
- Provincia Autonoma di Bolzano
- Provincia Autonoma di Trento (proroga durata piano)
- Toscana (proroga durata piano)
- Valle d'Aosta
- Veneto
Con Decreto Dirigenziale n. 11100 del 1 giugno 2015, il Ministero delle Politiche Agricole, Alimentari e Forestali (MIPAAF) ha approvato il “Piano di gestione degli allevamenti di bovini iscritti ai Libri genealogici (LG) delle 5 razze Italiane da carne finalizzato al risanamento dal virus responsabile della rinotracheite infettiva del bovino (IBR)”, predisposto dall’Associazione Nazionale Allevatori Bovini da Carne (ANABIC), che gestisce il libro genealogico delle razze Chianina, Marchigiana, Romagnola, Maremmana e Podolica, in collaborazione con l’Istituto Zooprofilattico Sperimentale Umbria e Marche.
Con Decreto Ministeriale n. 31679 del 23 dicembre 2016, il MIPAAF ha approvato il “Piano di gestione degli allevamenti dei bovini iscritti al libro genealogico della razza Piemontese, finalizzato al risanamento dal virus responsabile della rinotracheite infettiva del bovino (IBR)”, predisposto dall’Associazione Nazionale Allevatori Bovini di razza Piemontese (ANABORAPI), che ne gestisce il libro genealogico, in collaborazione con l’Istituto Zooprofilattico Sperimentale Umbria e Marche.
Entrambi i piani nascono con lo scopo di limitare l’impatto negativo determinato dall’IBR sul miglioramento genetico di queste popolazioni e prevedono il risanamento entro 6 anni dall'adesione.
RELAZIONI ANNUALI PIANO DI GESTIONE DEGLI ALLEVAMENTI DI BOVINI ISCRITTI AI LIBRI GENEALOGICI (LG) DELLE 5 RAZZE ITALIANE E PIEMONTESE DA CARNE FINALIZZATO AL RISANAMENTO DAL VIRUS RESPONSABILE DELLA RINOTRACHEITE INFETTIVA DEL BOVINO (IBR)
RELAZIONE ANNO 2022 - Annualmente vengono elaborati i dati di attività del Piano di Gestione che prevede l’esecuzione del monitoraggio sierologico su tutti i riproduttori, di età superiore ai 12 mesi, delle aziende con bovini iscritti ai libri genealogici e aderenti ai piani.
RELAZIONE ANNO 2021 - Annualmente vengono elaborati i dati di attività del Piano di Gestione che prevede l’esecuzione del monitoraggio sierologico su tutti i riproduttori, di età superiore ai 12 mesi, delle aziende con bovini iscritti ai libri genealogici e aderenti ai piani.
RELAZIONE ANNO 2020 - Sono stati elaborati i dati di attività del Piano di Gestione per l'anno 2020
RELAZIONE ANNO 2019 - Sono stati elaborati i dati di attività del Piano di Gestione per l'anno 2019
RELAZIONE ANNO 2018 - Sono stati elaborati i dati di attività del Piano di Gestione per l'anno 2018
Elementi correlati
24/09/2025
Partecipazione al 27th Congresso Internazionale Fe.Me.S.P.Rum
Il Direttore Generale Dr. Vincenzo Caputo, ha il piacere di comunicare che nei giorni 4-6 settembre 2025, l’Istituto...
16/06/2025
Veterinari dall’Angola: Training Course presso il Centro di Referenza Nazionale Pesti Suine
Il Direttore Generale, Dott. Vincenzo Caputo, comunica che il Centro di Referenza Nazionale Pesti Suine (CEREP), nei giorni...
13/11/2024
Corso di aggiornamento sulla Rinotracheite Infettiva del Bovino - IBR
Il Direttore Generale Vincenzo Caputo ha il piacere di comunicare che nella giornata del 7 novembre 2024 si è svolto...
29/05/2024
Attività di Cooperazione Internazionale dell’IZSUM in Tunisia 25-26 maggio 2024
Il Direttore Generale, Dr. Vincenzo Caputo, esprime vivo apprezzamento per l’iniziativa di Cooperazione Internazionale...
27/06/2023
SISVET 2023
Il Direttore Generale dell’IZSUM ha il piacere di comunicare che nei giorni 21-23 Giugno 2023 si è tenuto a...
08/06/2023
Comunicato Stampa IZSUM Visita Tunisia 5 e 6 giugno 2023
Nei giorni 5 e 6 giugno 2023 la Direzione generale e la Direzione sanitaria dell'IZSUM hanno accompagnato il Responsabile...
Seminario ECM Residenziale - AGGIORNAMENTO SUI VIRUS ERPETICI DEL BOVINO...
"PIANO NAZIONALE DI CONTROLLO UFFICIALE SULL’ALIMENTAZIONE DEGLI ANIMALI...
SEMINARIO RESIDENZIALE ECM “RINOTRACHEITE INFETTIVA DEL BOVINO (IBR): INCONTRO...


