Vai al contenuto principale

 Registro Tumori Animali Regione Umbria
.

GATTI

A partire dall’anno 2014 la regione Umbria ha attivato, per i cani residenti in Umbria, un servizio di diagnostica istopatologica gratuito per tutte le lesioni di sospetta natura neoplastica, finalizzato ad implementare il RTA.

Con la finalità di avviare i lavori per estendere lo stesso registro anche ai gatti, è possibile conferire all’Istituto Zooprofilattico Sperimentale dell’Umbria e delle Marche “Togo Rosati”, campioni citologici ed istologici di gatti, oltre che campioni citologici di cani, di proprietà di persone residenti nella Regione Umbria usufruendo di un servizio di diagnostica istopatologica gratuito (Nota Regione Umbria prot. IZSUM 6631 del 16/05/24).

I campioni conferiti devono essere accompagnati dall’apposita “Scheda Anamnestica Campione istologico e Citologico Cane e Gatto”, compilata in modo completo ed al momento non dovranno essere registrati in SIVA, al contrario di quanto avviene per i campioni istologici dei cani.

Tale attività si inserisce nell’ambito di un progetto obbiettivo regionale assegnato all’Istituto Zooprofilattico Sperimentale dell’Umbria e delle Marche “Togo Rosati”.

IMMAGINI

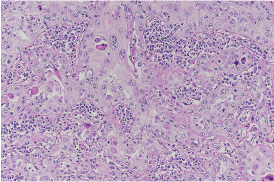
Gatto Maschio intero 13 anni. Cute orecchio. Carcinoma a cellule squamose (Ematossilina-Eosina x20).

Neoplasie del gatto (Umbria) - Minelli L., Dettori A., Checcarelli S., Morgante R.A., Manuale E.

Proporzione dei tumori per sedi e distribuzione per età e sesso

 

CANI

Lo scopo di un registro tumori umano o animale di popolazione è quello di “contare” tramite specifici parametri, i casi di tumore in una popolazione residente in un territorio ben definito: in questo modo si ha la conoscenza della situazione sanitaria in un luogo preciso e col tempo si possono attuare analisi relative all’andamento della patologia tumorale. Nel caso del registro tumori animali, canino, in considerazione della condivisione degli stessi ambienti tra la popolazione animale e umana e del fatto che l’aspettativa di vita degli animali è molto più breve, il registro tumori animali può essere ritenuto un sistema sentinella per la valutazione di eventuali inquinanti ambientali.
Il Registro Tumori Animali della Regione Umbria (RTA) raccoglie i casi di tumore della popolazione canina residente in Umbria ed ha prodotto dati di qualità sin dal primo anno di attività (2014). 
Il RTA è nato nel 2014 con Delibera della Giunta Regionale n. 464 del 2013 e coinvolge i veterinari liberi professionisti, per la segnalazione dei casi e l’invio di materiale per la diagnosi, il Centro Funzionale di Patologia Veterinaria per il Registro dei Tumori Animali, appositamente istituito dalla Regione Umbria, costituito dai laboratori dell’Istituto Zooprofilattico Sperimentale dell’Umbria e delle Marche “Togo Rosati” (IZSUM) e dal Dipartimento di Medicina veterinaria dell’Università degli Studi di Perugia per la diagnosi; all’Osservatorio Epidemiologico dell’Istituto Zooprofilattico Sperimentale dell’Umbria e delle Marche “Togo Rosati” è stata demandata l’elaborazione dei dati  e la loro pubblicazione annuale nel portale dell’IZSUM.
Il RTA segue le stesse procedure di quelli umani; le lesioni sono codificate secondo la International histological classification of tumor of domestic animals della World Health Organization (WHO) e classificate utilizzando i codici ICD-O (International Classification of Diseases for Oncology), finalizzati a tradurre in codici alfa numerici le diagnosi di neoplasia.

IMMAGINI

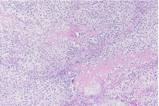
Cane Femmina intera 10,2 anni. Mammella. Osteosarcoma osteoblastico produttivo extrascheletrico (Ematossilina-Eosina x10).

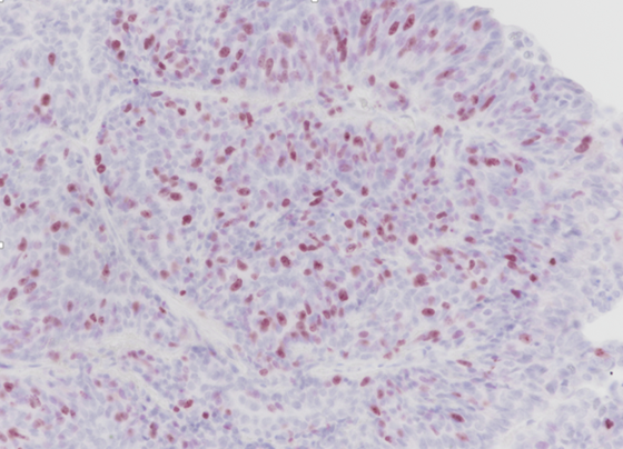
Cane Femmina intera 9,6 anni. Carcinoma solido della mammella. Immunoistochimica -  Ki67 (x20).

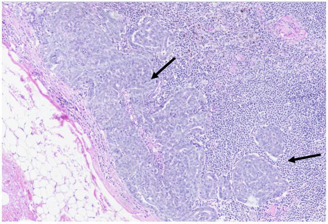
Cane Femmina intera 10,5 anni. Linfonodo. Metastasi di carcinoma semplice della mammella (frecce) (Ematossilina-Eosina x 10).

 

I RISCHI RELATIVI - per le variabili razza, sesso ed età dal 2014 al 2023.

TASSI DI INCIDENZA - Valutazione dell’andamento della patologia oncologica: il confronto di dieci anni di attività

I NUMERI - Valutazione dell'attività del registro tumori animali dei dieci anni di attività.

REGISTRO TUMORI ANIMALI IN UMBRIA: I TASSI DI INCIDENZA 2023

I NUMERI DEL REGISTRO TUMORI ANIMALI 2023 - REGIONE UMBRIA

CANI IN UMBRIA NEL 2023: IL DENOMINATORE PER IL RTA - La consistenza della popolazione canina umbra nel 2023 distribuita per territorio, età, sesso e razza.

TUMORI PIU' DIAGNOSTICATI NEL 2023 - Top ten dei tumori più diagnosticati nel 2023 sia benigni che maligni.

I RISCHI RELATIVI - per le variabili razza, sesso ed età dal 2014 al 2022.

TASSI DI INCIDENZA - Valutazione dell’andamento della patologia oncologica: il confronto dei nove anni di attività.

I NUMERI - Valutazione dell'attività del registro tumori animali dei nove anni di attività.

LE MAPPE DEL REGISTRO TUMORI ANIMALI DELL'UMBRIA 2022 - I sistemi informativi geografici sono uno strumento indispensabile per l’analisi epidemiologica di fenomeni sanitari. La visualizzazione grafica è un metodo descrittivo molto efficace per l’immediata interpretazione di dati sanitari. Pertanto l’analisi geografica presentata ha lo scopo di agevolare la lettura dei risultati dell'attività del RTA.

REGISTRO TUMORI ANIMALI IN UMBRIA: I TASSI DI INCIDENZA 2022

I NUMERI DEL REGISTRO TUMORI ANIMALI 2022 - REGIONE UMBRIA

TUMORI PIU' DIAGNOSTICATI NEL 2022 - Top ten dei tumori più diagnosticati nel 2022 sia benigni che maligni.

CANI IN UMBRIA NEL 2022: IL DENOMINATORE PER IL RTA - La consistenza della popolazione canina umbra nel 2022 distribuita per territorio, età, sesso e razza.

I RISCHI RELATIVI - per le variabili razza, sesso ed età dal 2014 al 2021.

TASSI DI INCIDENZA - Valutazione dell’andamento della patologia oncologica: il confronto dei otto anni di attività.

I NUMERI - Valutazione dell'attività del registro tumori animali dei otto anni di attività.

LE MAPPE DEL REGISTRO TUMORI ANIMALI DELL'UMBRIA 2021 - I sistemi informativi geografici sono uno strumento indispensabile per l’analisi epidemiologica di fenomeni sanitari. La visualizzazione grafica è un metodo descrittivo molto efficace per l’immediata interpretazione di dati sanitari. Pertanto l’analisi geografica presentata ha lo scopo di agevolare la lettura dei risultati dell'attività del RTA.

REGISTRO TUMORI ANIMALI IN UMBRIA: I TASSI DI INCIDENZA 2021

I NUMERI DEL REGISTRO TUMORI ANIMALI 2021 - REGIONE UMBRIA

TUMORI PIU' DIAGNOSTICATI NEL 2021 - Top ten dei tumori più diagnosticati nel 2021 sia benigni che maligni.

CANI IN UMBRIA NEL 2021: IL DENOMINATORE PER IL RTA - La consistenza della popolazione canina umbra nel 2021 distribuita per territorio, età, sesso e razza.

I RISCHI RELATIVI - per le variabili razza, sesso ed età dal 2014 al 2020.

TASSI DI INCIDENZA - Valutazione dell’andamento della patologia oncologica: il confronto dei sette anni di attività.

I NUMERI - Valutazione dell'attività del registro tumori animali dei sette anni di attività.

LE MAPPE DEL REGISTRO TUMORI ANIMALI DELL'UMBRIA 2020 - I sistemi informativi geografici sono uno strumento indispensabile per l’analisi epidemiologica di fenomeni sanitari. La visualizzazione grafica è un metodo descrittivo molto efficace per l’immediata interpretazione di dati sanitari. Pertanto l’analisi geografica presentata ha lo scopo di agevolare la lettura dei risultati dell'attività del RTA.

REGISTRO TUMORI ANIMALI IN UMBRIA: I TASSI DI INCIDENZA 2020

I NUMERI DEL REGISTRO TUMORI ANIMALI 2020 - REGIONE UMBRIA

TUMORI PIU' DIAGNOSTICATI NEL 2020 - Top ten dei tumori più diagnosticati nel 2020 sia benigni che maligni.

CANI IN UMBRIA NEL 2020: IL DENOMINATORE PER IL RTA - La consistenza della popolazione canina umbra nel 2020 distribuita per territorio, età, sesso e razza.

I RISCHI RELATIVI - per le variabili razza, sesso ed età dal 2014 al 2019.

TASSI DI INCIDENZA - Valutazione dell’andamento della patologia oncologica: il confronto dei sei anni di attività.

I NUMERI - Valutazione dell'attività del registro tumori animali dei sei anni di attività.

LE MAPPE DEL REGISTRO TUMORI ANIMALI DELL'UMBRIA 2019 - I sistemi informativi geografici sono uno strumento indispensabile per l’analisi epidemiologica di fenomeni sanitari. La visualizzazione grafica è un metodo descrittivo molto efficace per l’immediata interpretazione di dati sanitari. Pertanto l’analisi geografica presentata ha lo scopo di agevolare la lettura dei risultati dell'attività del RTA.

REGISTRO TUMORI ANIMALI IN UMBRIA: I TASSI DI INCIDENZA 2019

I NUMERI DEL REGISTRO TUMORI ANIMALI 2019 - REGIONE UMBRIA

TUMORI PIU' DIAGNOSTICATI NEL 2019 - Top ten dei tumori più diagnosticati nel 2019 sia benigni che maligni.

CANI IN UMBRIA NEL 2019: IL DENOMINATORE PER IL RTA - La consistenza della popolazione canina umbra nel 2019 distribuita per territorio, età, sesso e razza.

I TUMORI PIÙ FREQUENTI - I tumori più diagnosticati per sesso dal 2014 al 2018.

I RISCHI RELATIVI - per le variabili razza, sesso ed età dal 2014 al 2018.

TASSI DI INCIDENZA - Valutazione dell’andamento della patologia oncologica: il confronto dei primi cinque anni di attività.

I NUMERI - Valutazione dell'attività del registro tumori animali dei primi cinque anni di attività.

 

 

Elementi correlati

Potenziamento del Registro Tumori Animale della Regione Umbria (RTA) RTA

08/10/2024

Potenziamento del Registro Tumori Animale della Regione Umbria (RTA)

A partire dall’anno 2014 la regione Umbria ha attivato, per i cani residenti in Umbria, un servizio di diagnostica...

I numeri del Registro Tumori Animali 2023 - Regione Umbria RTA

10/04/2024

I numeri del Registro Tumori Animali 2023 - Regione Umbria

Il Direttore Generale, Dott. Vincenzo Caputo, informa che è stato pubblicato uno degli elaborati relativo ai dati...